Глиома головного мозга: продолжительность жизни, симптомы, причины и лечение
Глиома головного мозга – это заболевание, включающее в себя группу опухолевых патологий, локализующихся в мозговых оболочках. Толчком к развитию глиом становятся патологических разросшиеся вспомогательные клетки нервной системы.
На глиомы приходится более половины всех новообразований головного мозга, заболевание поражает не только взрослых, но и детей. Продолжительность жизни пациентов зависит от степени новообразования.
Причины возникновения опухоли
Ученые выяснили, что новообразования появляются из-за бурного размножения незрелых глиальных клеток. Так появляются доброкачественные и раковые глиомы.
Опухоли формируются в сером или белом веществе вокруг центрального канала, в задней части гипофиза, клетках мозжечка или в сетчатке глаза. Глиома развивается медленно от объема небольшой крупинки до округлого тела диаметром 10 см. Метастазы распространяются в редких случаях. Точные причины роста раковой глиомы не определены, но ученые склоняются к мнению, что они кроются на генетическом уровне, когда нарушается структура гена ТР53.
Лечить это заболевание трудно именно по причине его малой изученности. Эта опухоль имеет четкие контуры и затрагивает один участок головного мозга. Метастазы почти никогда не развиваются.

Прогноз выживаемости
Согласно британской статистике, в течение года остаются в живых 40% пациентов со всеми типами опухолей головного мозга, а в течение пяти лет — 10%. Выживаемость зависит от ряда факторов:
- Тип опухоли. В первую очередь он влияет на возможность хирургического лечения и чувствительность опухолевых клеток к облучению.
- Степень злокачественности. Более агрессивные глиомы сложнее лечить, и они с большей вероятностью рецидивируют.
- Локализация. Если опухоль находится рядом с критически важными нервными центрами, то ее сложнее удалить.
- Размер и форма опухоли. Задача хирургов усложняется, если новообразование большое, имеет нечеткие контуры, из-за того что вторгается в окружающие ткани.
- Возраст пациента. Для людей младше 40 лет прогноз зачастую лучше.
Клиника Медицина 24/7 принимает пациентов с разными типами глиом. У нас работают опытные врачи, применяются современные технологии, новейшие противоопухолевые препараты. Это позволяет нам оказывать эффективную помощь даже в самых сложных случаях.
Материал подготовлен заместителем главного врача по лечебной работе клиники «Медицина 24/7», кандидатом медицинских наук Сергеевым Петром Сергеевичем.
Классификация
Глиомы включают в себя различные опухоли в зависимости от того, какие именно клетки подвергались патологическому воздействию. Так, возникать они могут из эпендимы, астроцитов и других клеток. Наибольшее распространение получили следующие виды:
- Эпендимома – занимает около восьми процентов среди всех новообразований мозга, по большей части поражает желудочки;
- Диффузная астроцитома – это заболевание встречается в каждом втором случае. Такая опухоль обычно располагается в белом веществе мозга. Чаще всего встречается глиома ствола головного мозга;
- Смешанные опухоли – включают в себя измененные клетки из вышеперечисленных видов, могут возникать в любом участке мозга;
- Олигодендроглиома – патология встречается в среднем у каждого десятого пациента из ста. Локализуется вдоль желудочков, может прорастать в кору мозга;
- Невриномы – опухоль берет свое начало из миелиновых оболочек, по характеру – доброкачественная, но может провоцировать озлокачествление тканей. Такой является глиома зрительного нерва или глиома хиазмы;
- Опухоли сосудов – редко встречающаяся патология головного мозга с прорастанием опухоли в сосуды;
- Нейронально-глиальные опухоли – самый редкий вид заболевания, включается в патологический процесс, как нейроны, так и глиальная ткань.
Главная » Виды заболеваний » Внутримозговые глиальные опухоли
Внутримозговые глиальные опухоли
ВНУТРИМОЗГОВЫЕ ОПУХОЛИ ПОЛУШАРИЙ МОЗГА
Внутримозговые опухоли полушарий мозга — доброкачественные и злокачественные опухоли, располагающиеся непосредственно в тканях головного мозга. Опухоли полушарий мозга проявляются общемозговыми (головная боль, застой дисков зрительных нервов, головокружение, рвота, психические нарушения) и очаговыми (двигательные нарушения, выпадения чувствительности, зрительные расстройства, нарушения речи, нейро-эндокринный синдром и пр.) симптомами. Диагностика опухоли полушарий мозга включает офтальмоскопию, ЭЭГ, Эхо-ЭГ, КТ и МРТ головного мозга, стереотаксическую биопсию. Лечение опухоли полушарий мозга может включать радикальное или частичное ее удаление, хирургическую декомпрессию головного мозга, химиотерапию, лучевую терапию и симптоматическое лечение.
Внутримозговые опухоли полушарий мозга занимают примерно 1,4% от всех злокачественных опухолей. На их долю приходится 2,4% всех летальных исходов, связанных с заболеванием раком, как во взрослом, так и в детском возрасте. Заболеваемость опухолями полушарий мозга составляет 3,7 на 100 тыс. человек. В настоящее время отмечается тенденция к росту этого показателя. Опухоли полушарий мозга в педиатрической практике встречаются заметно реже, чем у взрослых пациентов. Наибольшей заболеваемости подвержены люди в возрасте от 20 до 50 лет. Внутримозговые опухоли полушарий мозга являются предметом совместного изучения неврологии, онкологии и нейрохирургии.
Причины возникновения опухоли полушарий мозга
Бесспорной причиной развития опухоли полушарий мозга является радиация. Это подтверждается возникновением внутримозговых опухолей у пациентов, проходивших лучевую терапию в связи с различными заболеваниями. Предполагается, что риск возникновения опухоли полушарий мозга повышается при употреблении заменителя сахара аспартама, воздействии винилхлорида, неблагоприятном влиянии электромагнитных полей при использовании мобильного телефона. Некоторые авторы связывают опухоли полушарий мозга с нарушениями в иммунной системе, которые могут иметь врожденный характер, наблюдаются у больных ВИЧ или являются следствием иммуносупрессорной терапии. Также замечено, что ряд опухолей полушарий мозга ассоциируется с такими заболеваниями как туберозный склероз, Синдром Von Hippel-Lindau, нейрофиброматоз Реклингхаузена.
Классификация опухолей полушарий мозга
Принципиальным является разделение опухолей полушарий мозга на первичные и вторичные (метастатические). Первичные опухоли полушарий мозга в большинстве своем развиваются из глиальных элементов, за что и получили название глиальные опухоли. Из них наиболее часто встречается астроцитома. Раже встречаются первичные опухоли полушарий мозга, берущие начало в соединительнотканных структурах (например, в оболочке сосудов головного мозга) и железистой ткани. К ним относятся саркомы и ангиоретикулемы, аденомы. Метастатические опухоли полушарий мозга представляют собой метастазы злокачественных опухолей внемозговой локализации. Чаще других в головной мозг метастазирует рак легких, второе место по частоте внутримозговых метастазов занимает рак молочной железы. Реже вторичные опухоли полушарий мозга возникают при метастазах меланомы, гипернефромы, ретинобластомы, опухолей надпочечников и др.
Симптомы опухоли полушарий мозга
Общемозговые симптомы
Общемозговые симптомы внутримозговой опухоли полушарий мозга связаны с повышением внутричерепного давления (гидроцефалией). Причем степень гипертензии не зависит напрямую от размеров опухоли. Так, небольшие опухоли полушарий мозга могут приводить к нарушению ликвородинамики и существенному увеличению внутричерепного давления, а опухоли больших размеров иногда сопровождаются слабовыраженной общемозговой симптоматикой. К общемозговым симптомам относятся: головная боль,головокружение, рвота, поражение дисков зрительных нервов, психические расстройства, эпилептические приступы. При внутримозговой опухоли полушарий мозга головная боль носит тупой распирающий диффузный характер. В начальном периоде она обычно возникает периодически, а затем становится постоянной. Зачастую пациенты отмечают уменьшение интенсивности головной боли при определенном положении головы (как правило, в положении лежа на пораженной стороне головы). Характерным клиническим признаком опухоли полушарий мозга является головокружение. Оно носит приступообразный системный характер в виде ощущения собственного вращения или вращения окружающих предметов. Головокружение может сопровождаться другими симптомами вестибулярной атаксии, тошнотой, вегетативными нарушениями, шумом в ушах. Обычно при опухоли полушарий мозга, в отличие от опухоли мозжечка, головокружение появляется на более поздних стадиях заболевания при значительной ликворной гипертензии. Отличительной чертой рвоты при опухоли полушарий мозга является ее возникновение вне связи с приемом пищи; наиболее часто утром натощак. Также рвота часто наблюдается на пике головной боли. Поскольку рвота приводит к уменьшению головной боли, то некоторые пациенты с этой целью специально вызывают рвотный рефлекс. При опухолях IV желудочка и мозжечка рвота может возникать без головной боли и провоцироваться изменением положения тела. Поражение дисков зрительных нервов в большинстве случаев является двусторонним и обусловлено развитием в них застойных явлений под воздействием постоянно повышенного внутричерепного давления. Застойные диски зрительных нервов являются ранним симптомом опухоли полушарий мозга и могут выявляться при офтальмоскопии в период, когда субъективные ощущения пациентов еще слабо выражены. Поражение зрительных нервов клинически проявляется мельканием «мушек» перед глазами, периодически возникающим «туманом» в глазах. При этом, в отличие от неврита зрительного нерва, длительно сохраняется острота зрения. С течение времени застойные изменения могут привести к атрофии зрительного нерва. Часто при опухоли полушарий мозга наблюдаются психические расстройства. Они могут носить самый разнообразный характер от нарушений мнестической сферы (памяти, внимания, мышления) и психо-эмоциональной перестройки личности (повышенная раздражительность, агрессивность или напротив апатия, чрезмерное благодушие) до тяжелых психических расстройств (галлюцинации, бред, сумеречные состояния сознания). Характерным является постепенное прогрессирование психических отклонений, хотя при злокачественном характере опухоли полушарий мозга этот процесс протекает достаточно быстро. Нередко опухоли полушарий мозга сопровождаются эпилептическим синдромом. Чаще всего это наблюдается при расположении процесса в височной доле (височная эпилепсия). Возможны различные типы эпи-приступов от малых до первично-генерализованных. Характер предшествующей приступу ауры зачастую позволяет предположить ориентировочное местонахождение опухоли.
Очаговые симптомы
Различают первичную очаговую симптоматику опухоли полушарий мозга, возникающую непосредственным воздействием опухоли на окружающие ее ткани, и вторичную — обусловленную смещением и ущемлением отдаленных от опухоли структур мозга, ишемизацией мозговых тканей, расположенных далеко от опухоли, но кровоснабжающихся сдавленными ею сосудами. При опухоли полушарий мозга, локализующейся в лобной доле, на первый план выходят психомоторные расстройства, изменение поведения, снижение интеллекта. Характерно замедление речи и мышления, парез лицевого нерва центрального типа, возникновение хватательного рефлекса, генерализованные эпи-приступы с предшествующими тоническими судорогами и насильственным поворотом глаз и головы. Опухоли полушарий мозга, расположенные в теменной доле, сопровождаются нарушениями чувствительности и мышечно-суставного чувства, расстройствами восприятия собственного тела. Опухолевое поражение в доминантном полушарии приводят к нарушению счета, письма (дисграфия) и чтения (дислексия). Опухоли полушарий мозга в височной доле отличаются ранним появлением эпи-приступов. Возможны сложные слуховые и зрительные галлюцинации, неприятные висцеральные ощущения. Опухоли левой височной доли приводят к появлению сенсорной афазии. Поражение задневисочных отделов протекает с развитием гомонимной гемианопсии (выпадения одноименных половин полей зрения). Расположенные в затылочной доле опухоли полушарий мозга проявляются разнообразными расстройствами зрительной функции: частичной или полной гемианопсией, зрительными галлюцинациями, фотопсиями и метаморфопсиями, оптической агнозией. Опухоли полушарий мозга в области турецкого седла (например, аденомы гипофиза) сопровождаются нейро-эндокринным синдромом. В зависимости от возраста пациента, характера и локализации опухоли может наблюдаться акромегалия, гигантизм, гипофизарный нанизм,болезнь Иценко-Кушинга, у женщин — нарушение менструального цикла, аменорея. Опухоли шишковидного тела в детском возрасте приводят к раннему половому созреванию. Опухоли мозолистого тела приводят к ярко выраженным психическим расстройствами и нарушениям ориентировки в пространстве. Опухоли полушарий мозга в области подкорковых структур манифестируют повышением внутричерепного давления и ранними застойными изменениями зрительных дисков. Затем присоединяются нарушения чувствительности, вегетативные симптомы (гипергидроз, лабильность пульса и артериально давления, разница температур кожи различных участков тела), насильственный смех и плач, маскообразность лица.
Диагностика опухоли полушарий мозга
Заподозрить внутримозговую опухоль невролог может по жалобам пациента и выявленным нарушениям в неврологическом статусе. Исключение опухоли полушарий мозга необходимо у всех пациентов с впервые возникшими эпи-приступами. Обязательным является обследование у офтальмолога с определением остроты зрения, проведением периметрии и офтальмоскопии. При нарушениях слуха назначается консультация отоларинголога, при наличие нейро-эндокринного синдрома — эндокринолога, а для женщин дополнительно гинеколога-эндокринолога. Опухоли полушарий мозга в большинстве случаев сопровождаются выявляемой в ходе Эхо-ЭГ значительной гидроцефалией. Если опухоль вызывает смещение структур головного мозга, то обнаруживается смещение эхо-сигналов от средней линии. При помощи ЭЭГ определяют наличие эпилептической активности. РЭГ при опухоли полушарий мозга зачастую дает сведенья о тех или иных нарушениях внутримозгового кровообращения, которые могут быть связаны с рефлекторным сосудистым спазмом или сдавлением сосудов растущей опухолью.
Наилучшими способами объективного выявления опухоли полушарий мозга признаны методы нейровизуализации: КТ и МРТ головного мозга. Они позволяют определить точную локализацию опухоли полушарий мозга и дифференцировать ее от внутримозговой гематомы, кисты при сирингомиелии, абсцесса головного мозга, рассеянного склероза, эпилепсии. Однако поставить достоверный диагноз и верифицировать опухоли полушарий мозга позволяет лишь гистологическое исследование. Оно может проводится с образцами мозговой ткани, полученными в ходе стереотаксической биопсии или интраоперационно.
Лечение опухоли полушарий мозга
Основным методом в лечении опухоли полушарий мозга остается ее хирургическое удаление. Доброкачественные внутримозговые опухоли полушарий мозга достигающее размера не более 3,5 см могут быть удалены с применением стереотаксической радиохирургии. К сожалению, удаление глиальных опухолей зачастую невозможно из-за их значительного прорастания в окружающую мозговую ткань. Полное удаление неглиальных опухолей возможно только при их доброкачественном характере. Удаление вентрикулярных опухолейпредставляет для нейрохирургов значительные трудности. В случаях когда оно не может быть выполнено в полном объеме дополнительно проводят шунтирующую операцию. Удаление метастатических опухолей возможно, если они носят единичный характер или локализуются в одной зоне. При неоперабельной опухоли полушарий мозга возможно проведение паллиативных вмешательств, направленных на снижение степени гидроцефалии и предупреждение дислокации мозговых структур. К ним относятся декомпрессивная трепанация черепа, наружное вентрикулярное дренирование, вентрикулоперитонеальное шунтирование. Хирургическое лечение опухоли полушарий мозга зачастую комбинируется с лучевой и химиотерапией. Облучение проводится обычно в режиме дистанционной гамма-терапии через 1-2 недели после проведенной операции. Условиями проведения эффективной химиотерапии является точная верификация опухоли и определение чувствительности пациента к химиопрепарату. Химиотерапия проводится курсами с обязательным контролем показателей крови и сопровождающей противорвотной терапией. Она может осуществляться путем локального введения препаратов в ликворную систему или непосредственно в ложе опухоли.
Прогноз опухоли полушарий мозга
Благоприятный прогноз наблюдается в случае менингиомы или аденомы при условии ее радикального хирургического удаления. Глиальные опухоли полушарий мозга отличаются частым рецидивированием, продолжительность послеоперационной выживаемости пациентов при них зависит от степени злокачественности опухоли.
ГЛИОМА ГОЛОВНОГО МОЗГА
Глиома головного мозга — наиболее распространенная опухоль головного мозга, берущая свое начало из различных клеток глии. Клинические проявления глиомы зависят от ее расположения и могут включать головную боль, тошноту, вестибулярную атаксию, расстройство зрения, парезы и параличи, дизартрию, нарушения чувствительности, судорожные приступы и пр. Глиома головного мозга диагностируется по результатам МРТ головного мозга и морфологического исследования опухолевых тканей. Вспомогательное значение имеет проведение Эхо-ЭГ, ЭЭГ, ангиографии сосудов головного мозга, ЭЭГ, офтальмоскопии, исследования цереброспинальной жидкости, ПЭТ и сцинтиграфии. Общепринятыми способами лечения в отношении глиомы головного мозга являются хирургическое удаление, лучевая терапия, стереотаксическая радиохирургия и химиотерапия.
Глиома головного мозга встречается в 60% случаев новообразований головного мозга. Название «глиома» связано с тем, что опухоль развивается из глиальной ткани, окружающей нейроны головного мозга и обеспечивающей их нормальное функционирование. Глиома головного мозга представляет собой в основном первичную внутримозговую опухоль полушарий мозга. Она имеет вид розоватого, серовато-белого, реже темно-красного узла с нечеткими очертаниями. Глиома головного мозга может локализоваться в стенке желудочка мозга или в области хиазмы (глиома хиазмы). В более редких случаях глиома располагается в нервных стволах (например, глиома зрительного нерва). Прорастание глиомы головного мозга в мозговые оболочки или кости черепа наблюдается лишь в исключительных случаях. Глиома головного мозга часто имеет округлую или веретенообразную форму, ее размер колеблется от 2-3 мм в диаметре до величины крупного яблока. В подавляющем большинстве случаев глиома головного мозга отличается медленным ростом и отсутствием метастазирования. Однако при этом она характеризуется настолько выраженным инфильтративным ростом, что границу опухоли и здоровых тканей не всегда удается найти даже при помощи микроскопа. Как правило, глиома головного мозга сопровождается дегенерацией окружающих ее нервных тканей, что зачастую приводит к несоответствию выраженности неврологического дефицита размерам опухоли.
Классификация глиом головного мозга
Среди глиальных клеток различают 3 основных вида: астроциты, олигодендроглиоциты и эпендимоциты. В соответствии с тем, из какого типа клеток берет начало глиома головного мозга, в неврологии различают: астроцитому, олигодендроглиому и эпендимому. На долю астроцитомы приходится около половины всех глиом головного мозга. Олигодендроглиомы составляют около 8-10% глиом, эпендимомы — 5-8%. Выделяют также смешанные глиомы головного мозга (например, олигоастроцитомы), опухоли сосудистого сплетения и нейроэпителиальные опухоли с неясным происхождением (астробластомы). В соответствии с классификацией ВОЗ выделяют 4 степени злокачественности глиом головного мозга. К I степени относится доброкачественная медленно растущая глиома (ювенильная астроцитома, плеоморфная ксантоастроцитома, гигантоклеточная астроцитома). Глиома II степени злокачественности считается «пограничной». Она отличаются медленным ростом и имеет только 1 признак злокачественности, в основном клеточную атипию. Однако такая глиома может трансформироваться в глиому III и IV степени злокачественности. При III степени злокачественности глиома головного мозга имеет 2 из трех признаков: фигуры митозов, ядерную атипию или микропролиферацию эндотелия. Глиома IV степени злокачественности отличается наличием области некроза (мультиформная глиобластома). По месту расположения глиомы классифицируются на супратенториальные и субтенториальные, т. е. находящиеся выше и ниже намета мозжечка.
Симптомы глиомы головного мозга
Подобно другим объемным образованиям глиома головного мозга может иметь разнообразные клинические проявления, зависящие от ее расположения. Чаще всего у пациентов наблюдается общемозговая симптоматика: некупируемые обычными средствами головные боли, сопровождающиеся ощущением тяжести в глазных яблоках, тошнотой и рвотой, иногда судорожными приступами. Наибольшей выраженности эти проявления достигают, если глиома головного мозга прорастает в желудочки и ликворные пути. При этом она нарушает циркуляцию цереброспинальной жидкости и ее отток, приводя к развитию гидроцефалии с повышением внутричерепного давления. Среди очаговых симптомов глиомы головного мозга могут наблюдаться нарушения зрения, вестибулярная атаксия (системное головокружение, шаткость при ходьбе), расстройство речи, понижение мышечной силы с развитием парезов и параличей, снижение глубоких и поверхностных видов чувствительности, психические отклонения (нарушения поведения, расстройство мышления и различных видов памяти).
Диагностика глиомы головного мозга
Процесс диагностики начинается с опроса пациента по поводу его жалоб и последовательности их возникновения. Неврологический осмотр при глиоме головного мозга позволяет выявить существующие нарушения чувствительности и расстройства координации, оценить мышечную силу и тонус, проверить состояние рефлексов и т. п. Отдельное внимание уделяют анализу состояния мнестической и психической сферы пациента. Провести оценку состояния нервно-мышечного аппарата неврологу помогают такие инструментальные методы исследования какэлектронейрография и электромиография. Для выявления гидроцефалии и смещения серединных мозговых структур может применяться эхоэнцефалография. Если глиома головного мозга сопровождается зрительными нарушениями, то показана консультация офтальмолога и комплексное офтальмологическое обследование, включающее визиометрию, периметрию, офтальмоскопию и исследование конвергенции. При наличии судорожного синдрома проводится ЭЭГ. Глиома головного мозга нуждается в дифференцировке от внутримозговой гематомы, абсцесса головного мозга, эпилепсии, других опухолей ЦНС (гемангиобластомы, медуллобластомы, герминомы, гломусной опухоли, ганглионевромы и др.), последствий перенесенного ишемического инсульта. Наиболее приемлемым способом диагностики глиомы головного мозга на сегодняшний день является МРТ головного мозга. При невозможности ее проведения может применяться МСКТ или КТ головного мозга, контрастная ангиография мозговых сосудов, сцинтиграфия. ПЭТ головного мозга дает сведения о метаболических процессах, по которым можно судить о скорости роста и агрессивности опухоли. Кроме того, с диагностической целью возможно проведение люмбальной пункции. При глиоме головного мозга анализ полученной цереброспинальной жидкости выявляет наличие атипичных (опухолевых) клеток. Вышеперечисленные неинвазивные методы исследования позволяют диагностировать опухоль, однако точный диагноз глиомы головного мозга с определением ее вида и степени злокачественности можно поставить только по результатам микроскопического исследования тканей опухолевого узла, полученных при проведении оперативного вмешательства или стереотаксической биопсии.
Лечение глиомы головного мозга
Полное удаление глиомы головного мозга представляет собой практически невыполнимую задачу для нейрохирурга и возможно только в случае ее доброкачественности (I степени злокачественности по классификации ВОЗ). Это связано со свойством глиомы головного мозга значительно инфильтрировать и прорастать окружающие ее ткани. Разработка и применение в ходе нейрохирургических операций новых технологий (микрохирургии, интраоперационного картирования головного мозга, МРТ-сканирования) немного улучшило ситуацию. Однако до сих пор хирургическое лечение глиомы в большинстве случаев по сути является операцией по резекции опухоли. Противопоказаниями к осуществлению хирургического метода лечения является нестабильное состояние здоровья пациента, наличие других злокачественных новообразований, распространение глиомы головного мозга в оба полушария или ее неоперабельная локализация. Глиома головного мозга относится к радио- и химиочувствительным опухолям. Поэтому химио- и радиотерапия активно применяются как в случае неоперабельности глиомы, так и в качестве пред- и постоперационной терапии. Предоперационная лучевая и химиотерапия может быть проведена только после подтверждения диагноза результатами биопсии. Наряду с традиционными методами радиотерапии возможно применение стереотаксической радиохирургии, позволяющей воздействовать на опухоль при минимальном облучении окружающих тканей. Следует отметить, что лучевая и химиотерапия не могут служить заменой хирургического лечения, поскольку в центральной части глиомы головного мозга зачастую располагается участок, плохо поддающийся воздействию облучения и химиопрепаратов.
Прогноз глиомы головного мозга
Глиомы головного мозга имеют преимущественно неблагоприятный прогноз. Неполное удаление опухоли приводит к ее быстрому рецидивированию и лишь продлевает жизнь пациента. Если глиома головного мозга имеет высокую степень злокачественности, то в половине случаев больные погибают в течение 1 года и только четверть из них живет дольше 2 лет. Более благоприятный прогноз имеет глиома головного мозга I степени злокачественности. В случаях, когда удается произвести ее полное удаление с минимальным послеоперационным неврологическим дефицитом, более 80% прооперированных живут дольше 5 лет.
Симптомы глиомы
Симптомы растущей глиомы напрямую зависят от того, какой отдел мозга занимает эта опухоль. Новообразование сдавливает ткани и оболочки, что приводит к возникновению общемозговой симптоматики:
- Сильнейшим головным болям, которые не купируются приемом анальгетиков и спазмолитиков.
- Появлением тяжести в глазных яблоках.
- Тошнотой, возникающей как следствие болей в голове. Пациенты жалуются и на периодическую рвоту, возникающую также на пике приступа.
- Судорогам.
Если глиома сдавливает ликворные пути и желудочки мозга, то развивается гидроцефалия и повышается внутричерепное давление. Помимо общемозговых симптомов глиома влияет и на возникновение очаговых проявлений болезни, это:
- Головокружение.
- Шаткость при обычном движении.
- Нарушение зрения.
- Снижение слуха или шумы в ушах.
- Расстройство речевой функции.
- Снижение чувствительности.
- Понижение силы мышц, что становится причиной парезов и параличей.
У пациентов с глиомой головного мозга выявляются и психические изменения, выражающиеся расстройством всех видов памяти и мышления, определенными нарушениями поведенческой функции.
Общая симптоматика
То, какие симптомы будет вызывать глиома, зависит от ее размера, местоположения и возраста. Например, доброкачественные опухоли растут медленно и могут долгое время никак себя не проявлять. Только когда они достигают крупного размера и начинают давить на головной или спинной мозг, можно заметить симптомы:
- головные боли, появляющиеся в основном по утрам и иногда проходящие после рвоты;
- внутричерепное давление;
- боли в спине;
- значительное увеличение размера головы (макроцефалия);
- тошнота и рвота при отсутствии заболеваний желудочно-кишечного тракта и вне зависимости от приема пищи;
- головокружения;
- нарушения координации движений, шатающаяся походка;
- проблемы со зрением, такие как двоение в глазах, нечеткое зрение или слепота;
- сложности с концентрацией внимания, ухудшение памяти и возможное отставание в развитии;
- нарушения сна и отсутствие аппетита;
- внезапные судороги и параличи конечностей или частей лица.
Стадии развития
Согласно международной классификации болезней, стадии опухолевого развития оцениваются по степени опасности для жизнедеятельности пациента. Принято делить заболевание на четыре группы или стадии развития:
- 1 степень – доброкачественное образование с тенденцией к медленному развитию. Имеет наиболее благоприятное течение болезни. При своевременно принятых мерах, удается продлить жизнь пациента до 8-10 лет. Этой степени соответствует врожденная доброкачественная глиома.
- 2 степень – опухоль начинает медленно, но с постоянством увеличиваться в размерах. Проявляются первые признаки перерождения в злокачественное образование. Признаки ухудшения проявляются в постоянном нарастании неврологических и других симптомов.
- 3 степень – анапластическая глиома. На третьем этапе заболевание имеет симптомы, характерные для злокачественного новообразования. Прогноз жизни не превышает 2-5 лет. Метастазирование в другие области тела отсутствует, но иногда наблюдается распространение онкологического заболевания в разные отделы полушарий.
- Прогноз при диффузной глиоме ствола головного мозга крайне неблагоприятный. Пациент редко живет больше 2 лет.
- 4 степень – объемное образование злокачественного характера с тенденцией к быстрому росту опухоли. Прогноз неблагоприятный. Срок жизни пациента до 1 года. На этом этапе диагностируется неоперабельная злокачественная глиома.
Диффузную глиому у маленьких пациентов лечат радиологическим методом. После кратковременного улучшения болезнь возвращается в более тяжелой форме.
Прогнозы на выздоровление
Составить точный прогноз при детской глиоме непросто, так как он зависит от многих факторов, таких как возраст и состояние здоровья ребенка, тип новообразования и его местоположение. Приведенные ниже данные описывают только общую статистику и не могут помочь в определении прогноза для конкретного ребенка.
Доброкачественная глиома. Благодаря современным методам лечения и богатому врачебному опыту шансы вылечиться от доброкачественной глиомы являются довольно высокими. По статистике, выживаемость детей и подростков с данным диагнозом составляет примерно 80 %. В основном шансы на исцеление зависят от локализации опухоли и ее операбельности.
Злокачественная глиома. При глиоме высокой степени злокачественности шансы на выживание все еще остаются весьма низкими. При частичном удалении опухоли пятилетняя выживаемость составляет всего 10–20 %. Если удается удалить новообразование полностью, шансы на выживание возрастают до 50 %. Однако стоит отметить, что даже после успешной операции, не исключена возможность рецидива.
Диагностика
Глиомы с низким коэффициентом злокачественного процесса очень редко диагностируют на первоначальных стадиях, потому что они могут не иметь клинических симптомов. В большинстве случаев их обнаруживают во время компьютерной или магнитно-резонансной томографии после черепно-мозговых травм или для обследования сосудистых болезней. В таких ситуациях исследования головного мозга назначают невропатологи. При потере зрения или слуха, пациенты обращаются к специалистам узкого направления, которые должны быть осведомлены о коварных патологиях в головном мозгу.
Для адекватной оценки глиомы головного мозга пациента направляют на магниторезонансную томографию. Именно этот вид диагностики позволяет точным образом в трехмерном изображении определить местоположение опухоли, ее объем и зону поражения.
В зависимости от симптоматики пациента могут направить на эхоэнцефалографию, мульти-воксальную или магниторезонансную спектроскопию или позитронно-эмиссионную томографию. Для самой точной постановки диагноза назначается биопсия ‒ микроскопическое исследование части биологического материала.
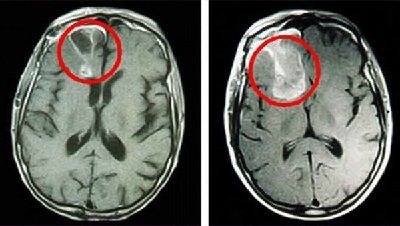
Магнитно-резонансная томография (мрт) при глиобластоме
МРТ позволяет с высокой степенью уверенности говорить о диагнозе мультиформной глиобластомы и широко используется для определения местоположения и размера опухолей мозга. Фактически, этот метод имеет наивысшую степень достоверности среди других лучевых методов. Некоторые другие процессы, в основном объёмные образования с геморрагическим компонентом, могут имитировать мультиформную глиобластому на МРТ, включая абсцессы мозга и инфаркты. В случае неясной или спорной МРТ-картины может быть полезной экспертная оценка МРТ специализированными радиологами.
Стандартная методика МРТ ограничена в способности определять тип и степень злокачественной трансформации опухолей мозга, но более продвинутые протоколы МРТ, такие как перфузионно-взвешенная томография, могут оценить этот показатель с большей степенью достоперности, так как способны предоставлять более «физиологическую» информацию.
Как выглядит глиобластома на МРТ? Как правило, образование на томограммах представляет собой зону, имеющую в основном пониженный сигнал на Т1-взвешенных изображниях и повышенный сигнал на Т2- взвешенных изображениях. Могут присутствовать внутренние кистозные участки, участки потери сигнала, обусловленные крупными сосудами, внутренние зоны повышенной интенсивности сигнала на Т1-ВИ (геморрагические очаги), новообразованные сосуды, очаги некроза, обширный перитуморозный вазогенный отеком и значительный масс-эффект. Также может выявляться неравномерное, но интенсивное накопление контрастного вещества на основе гадолиния (та же картина наблюдается на КТ после введения йодсодержащего контраста), как в основной опухоли, так и в метастатических очагах, характерных для МФГ. МРТ более чувствительна к этим изменениям, чем КТ.
Глиоматоз головного мозга выглядит как диффузное изменение сигнала от белого вещества, сочетающееся с признаками повышения внутричерепного давления, такими как сдавление мозговых желудочков и сужение субарахноидального пространства.
Глиосаркома обычно представляет собой четко ограниченную опухоль, при этом саркоматозные или инфильтрационные глиоматозные элементы часто имеют сходство с менингиомами. Прочие МРТ-признаки схожи с теми, что характерны для мультиформной глиобластомы.
Лечение глиомы головного мозга
Единственный метод, помогающий добиться существенных улучшений в самочувствии пациента, это нейрохирургия мозга. Проведение операции осложнено тем, что любые ошибки хирурга приводят к серьезным нарушениям функций человеческого тела, парализации и летальному исходу.
Удаление глиомы головного мозга проводят с помощью нескольких методов:
| Эндоскопия | с помощью эндоскопа в полость черепа вводятся хирургические инструменты и видеокамера. После удаления опухоли проводится химиотерапия. Повторные операции по удалению глиомы требуются более чем в 50% случаев. |
| Радиотерапия | применяется на начальных стадиях рака и в качестве профилактического способа после проведения хирургического вмешательства. |
Глиома имеет генетические причины образования. Поэтому после операции опухоль может образоваться вновь. Использование препаратов генной инженерии позволяют сократить размеры злокачественного образования и облегчить операцию.
Эти новейшие препараты воздействуют на раковые клетки, убивая. Размеры опухоли не изменяются, пациент может жить дольше без болей. Препараты генной инженерии позволяют избежать повторной операции.
Методы лечения
Лечение опухолей глиального ряда носит комплексный подход и включает хирургическое вмешательство, лучевую и химиотерапию, радиохирургию. Основным методом при злокачественных глиомах является хирургия с трепанацией черепа. Операция выполняется с применением микрохирургической техники, что позволяет удалить значимый объем опухоли без вреда для окружающих тканей, а также провести точный гистологический анализ.
В большинстве случаев проводятся курсы лучевой и химиотерапии. Лучевая терапия применяется как перед хирургическим вмешательством, так и после него. При расположении глиомы в труднодоступных местах облучение используется как отдельный метод. Химиотерапевтическое лечение является вспомогательной методикой, которую назначают после хирургической операции, либо после облучения на радиохирургической установке.
